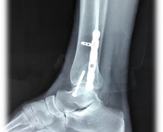
Masculino 20 años de edad, sufre fractura/luxación de tobillo derecho. Los accidentes en días festivos aumentan considerablemente fracturas en tobillo. Acude al servicio de urgencias donde se realiza diagnóstico y tratamiento: Fractura/luxación de tobillo derecho, ruptura de sindesmosis tibia peroné, ruptura deltoideo y capsula. Inmovilización, radiografías Ap y lateral de tobillo derecho, resonancia magnética nuclear, hospitalización, se usa técnica quirúrgica osteosíntesis y plastia deltoideo ligamentosa, abordaje lateral, placa y tornillos titanio especiales para tobillo. (TightRope de Arthrex) Cierre de sindesmosis tibio – peroné, sutura lado medial del ligamento deltoideo, cierre por planos y bota de fibra.
Estudios de imagen
Se utilizan dos proyecciones:

Anteroposterior y lateral (Figura 1). Entre los parámetros radiográficos que usamos para valorar la sindesmosis están; el espacio libre tibioperoneo, la superposición del espacio medial, ancho tibial y peroneal.
Los estudios radiográficos han reportado una baja sensibilidad (43%) y una alta especificidad (100%), cuentan con una precisión de 72% para el diagnóstico de la ruptura de la sindesmosis tibioperonea.
Otro de los estudios de imagen que puede brindarnos una gran cantidad de información es la resonancia magnética nuclear. En los diferentes cortes y densidades de esta técnica se valoran cambios de señal en el área de cualquier ligamento de la sindesmosis, además de la presencia de una escasa definición de los límites de alguno de los ligamentos, o una discontinuidad franca de los mismos.
Tratamiento quirúrgico
El método de tratamiento convencional suele ser la fijación de la sindesmosis con un tornillo de cortical a través del peroné, situado dos cm proximal a la articulación, paralelo a ella. Uso de tornillos de 4.5 mm.

(Figura 2)
Métodos de fijación elásticos
Se han utilizado materiales de fijación elásticos que se presentan como alternativa al uso de tornillos.
Sus promotores defienden que estas técnicas son más fisiológicas y se adaptan mejor a la dinámica de la sindesmosis. Una de las ventajas planteadas con respecto a los métodos de fijación rígidos es la menor necesidad de una segunda cirugía para retirar el implante.
El implante sin nudos TightRope proporciona fijación para los trastornos de la sindesmosis con o sin fractura asociada del tobillo. El implante TightRope sin nudos está compuesto de UHMWPE #5, el cual, cuando está tensionado y asegurado entre botones metálicos y colocado contra la tibia y el peroné, proporciona estabilización fisiológica de la sindesmosis del tobillo.
Osteosíntesis de peroné (derecho), cierre de sindesmosis y plástia de ligamento deltoideo con reconstrucción de maléolo izquierdo (TightRope de Arthrex).

